Актуелне Вести

Почетна /Актуелне Вести

08

Mar

Срећан 8. март свим женама!

Нека вам сваки дан буде испуњен поштовањем, љубављу и осмесима које заслужујете. Хвала вам на снази, нежности и мудрости којима свакодневно чините свет лепшим местом.

08

Mar

Директор честитао 8. март

Директор Опште болнице Панчево, Зоран Милошевић, обишао је и овог викенда болницу. Данас је имао специјални повод више, јер је желео да свакој од запослених, које су и овог дана радиле, лично честита 8. март

02

Mar

Посао за стално у Општој болници Панчево

Чак двадесет двоје медицинских радника, од тога четири доктора медицине,16 медицинских сестра и 2 виша техничара,зановало је радни однос на неодређено време у панчевачкој болници.То је од великог значаја за сваку службу, а пре свега за пацијенте, истакао је директор Опште болнице Панчево, Зоран Милошевић.

02

Mar

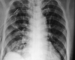
Status astmaticus

Status astmaticus је тежак и дуготрајан напад астме који не пролази ни након употребе уобичајених лекова, попут инхалатора. Код овог стања дисајни путеви су јако сужени због отока слузокоже и повећане производње секрета, па кисеоник тешко долази до плућа. Због тога је овај напад хитно и по живот опасно стање.

02

Mar

Едем плућа

Едем плућа је стање код ког се течност накупља у плућима, у малим ваздушним кесицама које служе за размену кисеоника. Када се оне испуне течношћу, кисеоник теже прелази у крв и долази до отежаног дисања.

28

Feb

Међународни дан ретких болести – значај, изазови и перспективе

Међународни дан ретких болести обележава се сваке године последњег дана фебруара са циљем подизања свести о ретким болестима, побољшања дијагностике, лечења и квалитета живота оболелих и њихових породица. Овај дан је први пут обележен 2008. године на иницијативу ЕУРОРДИС, а данас се обележава у више од 100 земаља широм света.

24

Feb

Обавештење

Директор Опште болнице Панчево, Зоран Милошевић, правећи осврт на претходни период, истакао је да је почетак године, пре свега, обележио пријем у радни однос на неодређено време чак 16 медицинских сестара/техничара, 2 виша техничара и 4 доктора медицине.

23

Feb

Вртоглавица – симптом са много узрока: када се обратити неурологу, а када ОРЛ специјалисти?

Вртоглавица је чест симптом који готово свако доживи бар једном. Није болест сама по себи, већ знак различитих стања, па се пацијенти, у зависности од узрока, упућују код неуролога или ОРЛ специјалисте.

23

Feb

Превремени порођај

Превремени порођај представља рођење детета пре 37 недеље трудноће.Нормална трудноћа траје око 40 недеља,а што се дете раније роди то је већи ризик за његово здравље и развој.Превремени порођај је један од водећих узрока смртности и обољевања новорођенчати широм света,због чега представља значајан медицински и друштвени проблем.

23

Feb

Исхрана и здравље у зимском периоду

Зима са собом доноси бројне изазове у погледу исхране. Краћи, хладни дани, често нас спречавају да поподне или у каснијим вечерњим сатима прошетамо, већ то време обично проводимо код куће уз слане или слатке грицкалице, топле заслађене напитке, колаче. Смањена физичка активност, мањи унос свежег воћа и поврћа, калоричнији оброци, доводе до осећаја смањене енергије и до постепеног повећања телесне масе.

18

Feb

Да ли псећа длака изазива алергије?

Родитељи који желе да им дете одраста уз кућног љубимца пре свега пса,често имају недоумице и понекад и оклевају због длака мислећи да могу изазвати алергије. Педијатар др Слободан Продановић објаснио је да ли псећа длака изазива алергије.

03

Feb

4. фебруар – Светски дан борбе против рака

Светски дан борбе против рака обележава се 4. фебруара, са циљем подизања свести о важности различитих аспеката превенције и лечења малигних болести, уз тематски одређене кампање на глобалном плану. Нова глобална трогодишња кампања обележавања овог датума под називом „United by Unique / Јединствено повезани“ има за циљ постављање пацијената и њихових јединствених потреба у средиште пажње јавноздравствених напора, а са циљем расветљавања индивидуалног аспекта борбе са малигним болестима.

03

Feb

Златни сат у акушерству

Златни сат у акушерству означава првих сат времена након рођења бебе – период који има изузетан значај за здравље, развој и емоционалну повезаност мајке и новорођенчета. Иако траје „само“ 60 минута, његов утицај је дуготрајан и немерљив.

31

Jan

31. јануар - Национални дан без дуванског дима

У Србији се 31. јануара обележава Национални дан без дуванског дима. Активностима у оквиру обележавања Националног дана без дуванског дима упозоравају јавност на штетне ефекте употребе дувана, као и последице излагања дуванском диму. Oве године се Национални дан без дуванског дима обележава под слоганом ,,СВАКOГА ДАНА БЕЗ ДУВАНА".

31

Jan

Хантингтонова болест

Хантингтонова болест je ретка, хронична, неуродегенеративна болест мозга. То значи да нервне ћелије у вашем мозгу временом пропадају. Болест обично почиње између 30. и 50. године, али може почети и раније.

28

Jan

Честе повреде главе и носа приликом падова

Много посла било је у Општој болници Панчево на ОРЛ одељењу приликом збрињавања пацијената који су задобили повреде главе и носа приликом падова, истакао је начелник ове службе, доктор Вељко Божић.

23

Jan

Европска недеља превенције рака грлића материце

Рак грлића материце (карцином цервикса) једна је од најчешћих малигних болести код жена широм света, али и једна од ретких врста рака које се могу у великој мери спречити уз правовремену превенцију, едукацију и одговорно здравствено понашање. Сваке године, током последње недеље јануара (од 21. до 28. јануара), у оквиру Европске недеље превенције рака грлића материце, широм Европе организују се различите активности чији је циљ подизање свести о значају раног откривања ове болести, важности редовних гинеколошких прегледа и примене ХПВ вакцине.

23

Jan

Како се преносе дечије глисте?

Дечије глисте могу да се јаве посебно код малишана који бораве у колективу. Иако су углавном безопасне, симптоми могу бити прилично непријатни.На који начин се пренесу у дигетивни тракт и како се лече објаснио је педијатар, др Слободан Продановић.

23

Jan

Из Црвеног крста апелују на суграђане да донирају крв

„Крв живот значи”, порука је коју знамо али да је нема у потребним количинама последњих месеци за оне којима живот и лечење зависи од нечије пружене руке. Из Службе за трансфузију крви Војводине два пута недељно долазе у Црвени крст Панчево где се организују акције добровољног давања крви.

19

Jan

Зоран Милошевић нови директор Опште болнице Панчево

Нови директор Опште болнице Панчево, Зоран Милошевић, планира да 2026.годину посвети подмлађивању кадрова, новом запошљавању и занављању опреме како би грађани Панчева и осталих места која гравитирају ка Општој болници Панчево имали што квалитетнију здравствену услугу.

16

Jan

Стрес и здравље – шта треба да знамо?

Стрес је природна реакција организма на изазове, притисак или опасност. Краткотрајни стрес може бити користан јер нас мотивише, повећава концентрацију и помаже да брже реагујемо. Ипак, савремени начин живота често доводи до хроничног стреса, који има значајне последице по здравље.

16

Jan

Синдром карпалног тунела

Синдром карпалног тунела је најчешћа компресиона неуропатија горњег екстремитета. Настаје услед притиска медијанус нерва у карпалном тунелу, анатомском простору смештеном у пределу ручног зглоба.

16

Jan

Ојачајте имунитет и сачувајте здравље током зиме

Зима је период када се чешће суочавамо са прехладама и другим вирусним инфекцијама. Више времена проводимо у затвореним просторима, ређе проветравамо, мање боравимо на сунцу и чешће смо у блиском контакту са другим људима – све то погодује ширењу вируса.

13

Jan

Срећна Нова година!

Нова година у Србији позната као српска или православна Нова година, свечано се вечерас дочекује широм Србије – на трговима, у ресторанима, а многи грађани ће славити у својим домовима, у кругу породице.

12

Jan

Посттрансфузионе реакције

Посттрансфузионе реакције су нежељени догађаји који се јављају након трансфузије крви или крвних производа.

06

Jan

Срећно Бадње вече и Божић!

Православна црква и они који Божић славе по јулијанском календару данас обележавају Бадњи дан и Бадње вече као увод у прославу најрадоснијег хришћанског празника, празника рођења Исуса Христа – Божића.

03

Jan

КОКСАРТРОЗА

Коксартроза представља дегенеративну болест зглоба кука која се карактерише пропадањем хрскавице.

31

Dec

Срећна Нова 2026. година!

Долазак Нове године доноси са собом чаролију и веру у бољу наредну годину.То је време када се свет окреће обећањима и жељама за бољом будућношћу.

31

Dec

Електроенцефалографија

Електроенцефалографија је посебна неурофизиолошка метода која региструје мождану електричну активност преко електрода које се постављају на поглавини.

31

Dec

Плућна фиброза

Плућна фиброза је хронично прогресивно обољење код којег долази до постепеног ожиљавања плућног ткива, што доводи до смањења еластичности плућа и нарушене размене гасова. Како болест напредује, пацијенту постаје све теже да удахне довољно ваздуха, па се јављају симптоми који се временом погоршавају.

30

Dec

Сaмоконтролом до контроле дијабетеса

Дијабетес мелитус – шећерна болест је хронична болест. Са овом болешћу, придржавајући се правлима здравог живота, лечењем и правилном исхраном, могуће је квалитетно и дуго живети.

29

Dec

Значај правилног држања тела за здравље кичменoг стуба

Правилно држање тела често се потцењује, иако има кључну улогу у очувању здравља мишићно коштаног система. Лоше држање, било при седењу, стајању или ходу, може довести до болова у леђима, вратном делу кичме и раменима ,а дугорочно и до дегенеративних промена на пршљеновима и зглобовима.

28

Dec

Крајници – истина и заблуда

Крајници јесу наша заштита уколико су здрави, што је данас реткост, али су и велики извор заразе који могу да наруше наше здравље, угрожавајући и друге органе уколико се не оперишу на време.

24

Dec

Срећно Бадње вече и Божић!

Бадњи дан и Бадње вече, који најављују Божић, празник рођења Исуса Христа, желимо да проведете у миру са својим најближима.

24

Dec

Пилонидалнa цистa (pilonidal cyst)

Пилонидалнa цистa је болна, упална промена која се јавља у кожном набору изнад тртичне кости. Представља шупљину испод коже у којој се најчешће налазе длаке, мртве ћелије коже и бактерије. Иако изгледа као мала промена, може изазвати веома јак бол и ометати свакодневне активности, посебно седење. Код неких пацијената развија се нагло, док код других напредује постепено, прелазећи из фазе нелагодности у бол и оток.

24

Dec

АЛКОХОЛНА ЦИРОЗА ЈЕТРЕ

Алкохолна болест јетре представља један од водећих узрока хроничних обољења јетре широм света. Алкохолна цироза јетре је завршни стадијум овог обољења и настаје као последица дуготрајног и прекомерног уноса алкохола. Карактерише се неповратним оштећењем јетреног паренхима, развојем фиброзе и нарушавањем нормалне структуре јетре, што доводи до смањења њене функције и бројних компликација.

15

Dec

УРГЕНТНО СТАЊЕ У ОТОРИНОЛАРИНГОЛОГИЈИ - ПОМОЋ ПРИ КРВАРЕЊУ ИЗ НОСА

Крварење из носа може бити нетрауматско или последица трауме, услед пуцања крвног суда у носу. Нетрауматско крварење се у већини случајева зауставља спонтано. Трауматска крварења се јавњају приликом повреде носа и лица. Најчешћи разлог епистаксе је микротраума.

15

Dec

Мала дечија глиста (Enterobius vermicularis)

Мала дечија глиста је најчешћи паразит код деце, са највећом заступљеношћу код деце школског и предшколског узраста (3-10 година), али се може јавити и код одраслих особа која долазе у контакт са децом. Јаја паразита се веома лако преносе од детета до детета.

09

Dec

Артроскопија колена – шта је, када се ради и како изгледа опоравак

Артроскопија колена је минимално инвазивна ортопедска процедура која омогућава лекару да преко малих резова увиди шта се дешава унутар зглоба, дијагностикује проблем и по потреби га одмах хируршки реши. Захваљујући малој трауми ткива, пацијенти се брже опорављају у поређењу са класичном операцијом.

09

Dec

ПРИМЕНА ОКСИГЕНЕ ТЕРАПИЈЕ КОД НОВОРОЂЕНЧЕТА

Терапија кисеоником је метода лечења додавањем кисеоника у удахнутом ваздуху.То је најважнији, најсложенији и најтежи део терапије код новорођене деце.Циљ оксигене терапије је одржавање нормалне виталне вредности кисеоника у крви, такође спречавање хипоксије и даљег погоршања стања витално угроженог новорођенчета.

07

Dec

Стања због којих је интервенција хитна

Током дежурства у Општој болници, на Одељењу оториноларингологије Опште болнице Панчево, више од 30 пацијената потражило је помоћ због хитних ситуација као што су гутање страних тела и тешке инфекције које угрожавају живот.

06

Dec

У породилишту Опште болнице Панчево од почетка године рођено је хиљаду сто и осам беба

У породилишту Опште болнице Панчево од почетка године рођено је хиљаду сто и осам беба, значајан број за породилиште које уз вршачко породилиште покрива целу територију Јужног Баната.

02

Dec

3,децембар – Међународни дан особа са посебним потребама

Међународни дан особа са инвалидитетом подсећа да је право на кретање и учешће у физичкој активности основно људско право. За особе са инвалидитетом, кретање је предуслов за самосталност, очување здравља, спречавање компликација и активно учешће у друштву.

02

Dec

Клинички облици неуротских поремећаја

Неуротски поремећаји обухватају више клиничких слика које имају заједничку основу у анксиозности и психичкој напетости, али се разликују по доминантним симптомима. Најчешћи облици су генерализована анксиозност, панични напади, фобије и опсесивно-компулсивни поремећај. Сви ови облици деле исту суштину — борбу између унутрашњих конфликата, страхова и потребе за контролом сопствених емоција.

29

Nov

ХЕПАТИТИС Ц

Хепатитис Ц је вирусно инфективно обољење јетре чији је узрочник вирус хепатитиса Ц. У прошлости данас па и у будућности, овај клинички ентитет је био и засигурно, биће један од најважнијих и најтежих глобалних проблема хумане медицине јер у значајнијем проценту доводи до развоја цирозе јетре, хроничне хепатоцелуларне инсуфицијенције и хепатоцелуларног карцинома.

29

Nov

Упутство за кориштење Port-a-Catch система

Порт (централни венски катетер) је мали имплант који омогућава лак приступ вени пацијента. Систем се хируршки поставља испод коже пацијента минималном инвазивном процедуром.

25

Nov

25. новембaр – Међународни дан борбе против насиља над женама

Међународни дан борбе против насиља над женама установљен је 1981. год. у Боготи на првом састанку феминисткиња Латинске Америке и Кариба. 25. 11. је изабран као дан сећања на сестре Мирабел које су убијене на свиреп начин 1960. год. у Доминиканској Републици. 1991. год. уводи се обележавање овог дана као иницијатива „Првог глобалног женског лидерског института“. Том приликом је покренута и кампања „16 дана борбе против насиља над женама“ која почиње 25. 11. Међународним даном борбе против насиља над женама и завршава се 10. 12. Међународним даном људских права. 1999. год. Уједињене нације су резолуцијом 54/134 службено потврдиле 25. 11. као Међународни дан борбе против насиља над женама. Циљ свих ових активности је спречавање насиља и заштита оновних људских права.

25

Nov

Здравствена нега деце на парентералној исхрани

Парентерална исхрана подразумева интравенско уношење енергије, макро- и микронутријената у облику раствора који су пажљиво прилагођени потребама детета, уз континуирано праћење његовог физиолошког стања и метаболичких параметара.

25

Nov

ХЕМОРОИДИ – СИМПТОМИ И ЛЕЧЕЊЕ

Такође у народу познати као шуљеви, хемороиди су крвни судови који се налазе у и око ануса и доњег дела ректума, који се под притиском шире и постају веома болни.

25

Nov

ВАЖНОСТ ЕДУКАЦИЈЕ У ЛАБОРАТОРИЈСКОЈ ДИЈАГНОСТИЦИ

Едукација у лабораторијској дијагностици има важну улогу у здравственом систему. Лабораторијска дијагностика представља основу за постављање тачне дијагнозе, праћење тока болести и процену успешности терапије. Да би се осигурала поузданост и тачност резултата, неопходно је да лабораторијско особље поседује адекватно знање и да се континуирано стручно усавршава.

16

Nov

Различити симптоми срчаних болести код мушкараца и жена

„Према податцима Светске здравствене организације узрочник преко тридест посто смрти широм света су коронарне болести. Знаци који указују на срчани удар код жена могу бити благи, бројнији, нетипични, другачији од оних који указују на инфаркт код мушкараца", напомиње др Станислав Милошевић специјалиста кардиологије и начелник Интерног блока.

15

Nov

У Панчеву обележена лекарска слава Свети Врачи Козма и Дамјан

У Панчеву обележена лекарска слава Свети Врачи Козма и Дамјан резањем колача уз присуство свештенства СПЦ, менаџмента Опште болнице Панчево, Дома здравља Панчево и Завода за јавно здравље Панчево, кумова славе и многобројних здравствених радника обележена је данас у Дому здравља у Панчеву.

13

Nov

14. новембар – Светски дан борбе против шећерне болести

Светски дан борбе против дијабетеса (WDD) се обележава сваке године 14. новембра, на рођендан сер Фредерика Бентинга, који је 1922. заједно са Чарлсом Бестом открио инсулин. Представља највећу светску кампању усмерену на подизање свести о дијабетесу.

13

Nov

14.новембар – Светски дан борбе против шећерне болести - Физичка активност као лек и превенција

Шећерна болест (дијабетес мелитус) једно је од најчешћих хроничних обољења данашњице, које настаје због поремећаја у лучењу или деловању инсулина. Услед тога долази до повећаног нивоа шећера у крви, што временом може довести до оштећења крвних судова, нерва, бубрега, очију и других органа.

13

Nov

15. новембар – Међународни дан борбе против опструктивне болести плућа - Дишите лакше, покретом до бољег дисања

Хронична опструктивна болест плућа (ХОБП) представља дуготрајно и прогресивно обољење које карактерише сужење дисајних путева и отежано избацивање ваздуха из плућа. Најчешћи узрок је дуготрајно пушење, али и изложеност прашини, диму и другим загађујућим честицама.

13

Nov

15. новембар – Међународни дан борбе против опструктивне болести плућа

Светски дан борбе против опструктивне болести плућа одржава се 15. новембра и има за циљ подизање свести и представљање нових сазнања о овој болести. Хронична опструктивна болест плућа (ХОБП) је обољење које се може спречити и лечити, а карактерише се трајним ограничењем протока ваздуха, које је обично прогресивно и удружено са поремећеним хроничним инфламаторним одговором у плућима на различите штетне честице и гасове.

12

Nov

МУЛТИПЛА СКЛЕРОЗА

Мултипла склероза (МС) је хронична аутоимуна болест која напада централни нервни систем (мозак, кичмену мождину и оптичке нерве), оштећујући заштитни омотач нерава (мијелин)

12

Nov

Да ли спавамо довољно?

Сматра се да дуже али и краће спавање неповољно утичу на опште здравље човека. Зна се да је неким људима, такозвани „кратки спавачи“, за  нормално функционисање потребно 2 до 3 сата спавања Неки људи спадају у групу „дугих спавача“ па им је за добар опоравак потребно 10 до 11 сати ноћног спавања. Уколико се спава још дуже, сматра се да постоји патолошко стање које се назива претерана поспаност или „хиперсомнија“, које захтева додатна медицинска испитивања узрока.

07

Nov

Повратак лекара специјалиста и нове методе лечења

После завршене специјализације, већи број лекара, онколога, хирурга и интерниста, враћа се у панчевачку Општу болницу Панчево. Однедавно, у болници се примењују и нове хируршке методе, захваљујући којима пацијенти више неће морати да одлазе у друге здравствене центре.

07

Nov

Новембар - Месец борбе против болести зависности

Месец новембар је према Међународном и Националном календару здравља посвећен борби против болести зависности, са циљем подизања свести становништва о штетним ефектима дрога и мобилисања целокупног друштва за укључивање у активности на сузбијању њиховог коришћења.Ове године се месец борбе против болести зависности обележава под слоганом ,,Победимо зависност заједно".

07

Nov

Новембар – месец мушког здравља

Према подацима Института за јавно здравље Србије „Др Милан Јовановић Батут”, сваке године у Србији од малигних болести оболи више од 42.000 људи, док више од 6000 мушкараца годишње оболи од рака бешике, простате, бубрега и тестиса. Поводом Новембра – месеца мушког здравља, у организацији Удружења пацијената „УРО ТАКТ”  организована је конференција на којој је најављен почетак едукативне кампање „Шефе, који ти је враг?”, са циљем да охрабри мушкарце да отворено разговарају о свом здрављу, редовно одлазе на превентивне прегледе и схвате да је правовремена дијагностика кључна за излечење рака простате, бешике, тестиса и бубрега.

07

Nov

Како се поставља дијагноза спонтаног пнеумоторакса?

Диференцијална дијагноза: Мада је пнеумоторакс етиогенетски, клинички и РТГ добро познато патолошко стање, честе су погрешне дијагнозе или диференцијално дијагнозне заблуде. Тешкоће при препознавању спонтаног пнеумоторакса и других по клиничкој симптоматологији и морфолошком изгледу сличним плеуропулмоналних обољења, настају при малим физички тешко препознатљивим и РТГ уочљивим количинама ваздуха и течности у плеуралној дупљи. Разлог су и неуки физички и РТГ прегледи, погрешно тумачење клиничких симптома и знакова болести.

28

Oct

НЕМАЧКА САРАДЊА У СРБИЈИ

Велика ми је част што сам, као стручњак из дијаспоре, имао прилику да своје знање и искуство поделим са колегама у Општој болници Панчево, уз подршку ГИЗ-а кроз програм „Миграције и дијаспора”.

27

Oct

Октобар није само месец розе боје — то је месец одговорности, подршке и солидарности

Октобар се широм света обележава као Међународни месец борбе против рака дојке, са циљем подизања свести жена и шире јавности о значају раног откривања ове болести. Слоган овогодишње кампање „Свака прича је јединствена, свака путовања је важно” (Every Story is Unique, Every Journey Matters) подсећа да су постављање дијагнозе и пут лечења јединствени за сваку жену.

27

Oct

Хигром код деце и одраслих

Хигром представља потпуно бенигну структуру која може да се нађе на било ком делу тела. Начешће се јавља на руци, и то на шаци. У питању је кесаста структура, најчешће овална и јасно ограничена и испуњена је слузавом материјом.

27

Oct

Шта је липом?

Липоми су често мултипли, у склопу липоматозе, склоности масног ткива да се организује у поткожне агломерате. Амбулантно се отклањању само мањи липоми, јер обично нема услова за довољно стерилан рад и хемостазу код великих липома, који могу да буду и величине песнице. Предилекциона места су унутрашња страна подлактице, плећке, кожа трбуха…

27

Oct

Ишчашења (луксације)

Ишчашења су оштећења зглобова где артикуларне површине више нису у контакту. Сублуксације су блаже форме где ипак постоји неки контакт зглобних површина. Сублуксације обично прате и одређене фрактуре.

20

Oct

20. октобар – Светски дан борбе против остеопорозе

Светски дан борбе против остеопорозе обележава се 20. октобра сваке године и представља кампању посвећену подизању глобалне свести о здрављу костију и превенцији, дијагностици и лечењу остеопорозе и сродних мускулоскелетних болести. Обележавање Светског дана борбе остеопорозе покренула је 1996. године Међународна фондација за остеопорозу како би подигла свест о остеопорози и промовисала здравље костију. Од тада је прерасла у глобалну кампању која наглашава важност здравља костију током читавог животног века.

16

Oct

16. октобар – Светски дан хране

Храна је трећа најосновнија људска потреба после ваздуха и воде – нема сумње да свако треба да има право на адекватну храну. Право на храну, живот и слободу, рад и образовање неприкосновена су права сваког човека на планети, дефинисана и у Универзалној декларацији о људским правима.

15

Oct

МАЛИГНИ МЕЗОТЕЛИОМ ПЛЕУРЕ

Малигни мезотелиом плеуре (МПМ) је ретка, али врло агресивна канцерогена болест која настаје из мезотелних ћелија облога плућа, тј. плеуре. То није карцином плућног паренхима, већ облога која окружује плућа и унутрашњу површину грудног коша. Иако је ретка, болест има значајан клинички значај због дугог латентног периода (могу проћи деценије од излагања до појаве болести) и лоше прогнозе.

15

Oct

Месец дана од прегледа до операције катаракте у Очној болници Панчево

Од почетка године до краја септембра у панчевачкој Очној болници обављено је 24. хиљаде прегледа. Оперисано близу 700 пацијената са дијагнозом катаракте и урађно 130 мањих интервенција на оку. Око три хиљаде и петсто суграђана је ранијих година због интервенција на оку упућивано у друге здравствене центре у Београду а сада су то обавили у нашој очној болници.

15

Oct

Гинеколошки брисеви-микробиолошко испитивање

Нормалну или физиолошку вагиналну флору чини велики број микроорганизама који живе у стању равнотеже .Најзначајнији део означава Lactobacillus vaginalis,чија улога је производња млечне киселине,тј.стварање киселе средине која не погодује развоју штетних микроорганизама.

15

Oct

20. октобар – Светски дан менопаузе

Први светски месец посвећен менопаузи био је у октобру 2014. године и од тада се обележава сваке  године, широм света, у организацији Међународног друштва за менопаузу уз подршку СЗО, са циљем  подизања свести о значају менопаузе, здравственим изазовима које она носи, као и о начинима на које жене могу да очувају своје физичко и ментално здравље.

15

Oct

Беснило

Беснило је акутна инфективна болест централног нервног система на коју су осетљиве све топлокрвне животиње и човек. Веома је тешка болест и у 99,9% случајева се завршава смртно. Припада групи зооантропоноза, изазива је Rabies virus. Болест је распрострањена широм света (у више од 150 земаља). Око 55 000 људи широм света умре од беснила (претежно из Азије и Африке), а 40% су деца млађа од 15 година.

15

Oct

Акутна тровања алкохолом

Етил-алкохол (етанол) представља најчешће коришћену супстанцију у циљу уживања. Разлога за то има више, али кључни су: лака доступност, ниска цена, свакодневна реклама, обичаји, а законски није санкционисана његова употреба. Неки га користе повремено, јер је то део „културног миљеа”, а други стално, јер временом постају зависни од њега. Раширена употреба етил-алкохола има веома велики социолошки значај. Према неким проценама и до 50% саобраћајних удеса и злочина дешава се под дејством алкохола.

15

Oct

Тровање бензодиазепинима

Бензодиазепини (БЗД) убрајају се у групу анксиолитика и засигурно су најчешће прописивани лекови у светским оквирима.У свим случајевима тровања лековима, бензодиазепини, сами или у комбинацији са другим лековима и/или алкохолом, учествују са близу 60%. Разлог је свакако и због тога што су то најчешће прописивани лекови због своје анксиолитичне ефикасности, сигурности примене и ниске цене.

14

Oct

Лумбални синдром – разумевање, лечење и превенција

Лумбални синдром је често обољење које се манифестује болом у доњем делу леђа. Представља последицу различитих промена или преоптерећења у мишићно-коштаном систему, посебно у лумбалном делу кичме. Утиче на квалитет живота, радну способност и психофизичко стање пацијената.

10

Oct

Страно тело у носу

Страно тело у носу представља присуство предмета који се нормално не налази у носној шупљини. Најчешће се јавља код деце узраста између две и шест година, али се може јавити и код одраслих особа, посебно код ментално оболелих или код особа под дејством алкохола. Предмет може бити органског или неорганског порекла (грашак, пасуљ, зрнце кукуруза, дугме, зрно песка, мали део играчке и сл.).

06

Oct

Интерактивно предавање "Школа и препознавање менталних потешкоћа"

У Панчеву, од 10. до 20. октобра Одржаће се трећи по реду Фестивал менталног здравља у Панчеву док ће то бити десети одржан Фестивал менталног здравља у Новом Саду. И Општа болница Панчево узела је учешће у овм догађају. Циљ је да кроз заједничке активности и ове године дамо допринос подизању свести о важности менталног здравља. Фестивал од свог почетка промовише важност складних, солидарних и хуманих односа међу људима и значајну улогу заједнице у очувању менталног здравља појединца.

29

Sep

Недеља дојења

Од 29. септембра до 6. октобра обележава се Недеља дојења. Овај догађај има за циљ да истакне значај дојења за здравље детета и мајке, као и да пружи подршку породицама и здравственим радницима.

26

Sep

Сваке последње среде у месецу Панчевци могу добровољно давати крв од 13 до 17 сати

Грађани Панчева су сваке последње среде у месецу, од 13 до 17 сати, у прилици да покажу своју хуманост и дају крв у просторијама Црвеног крста Панчево. Добровољни даваоци могу дати крв и понедељком и средом у редовним акцијама од 10 до 13 сати.

17

Sep

Панчевци још једном показали хуманост – успешно одржана редовна акција давања крви

На платоу испред КЦ Панчево, у трансфузиомобилу Завода за трансфузију крви Војводине, одржана је још једна редовна акција добровољног давања крви у организацији Црвеног крста Панчево. Посебан акценат стављен је и на наставак сарадње са средњим школама.

13

Sep

Церебрална парализа

Церебрална парализа је хронично неуролошко стање. Настаје као последица оштећења централног нервног система у раним развојним фазама. Постоји у више различитих форми.

11

Sep

10. септембар - Светски дан превенције самоубистава

Живот је један од најкомплекснијих феномена. Одвајкада проучаван са медицинске, филозофске, теолошке и других перспектива, ипак је до дан данас остао непотпуно разумљив. На жалост, често и недовољно цењен.

26

Aug

Пораст оболелих од емболије плућа

Нажалост емболија плућа, све чешће се дијагностификује код млађих људи али погађа и старије особе. Плућна емболија настаје када тромб из дубоке венске циркулације стиже до срца или плућне циркулације и долази до запушења крвног суда када може доћи до смрти.

14

Aug

Савремени ултразвучни апарат стигао у Општу болницу Панчево: Бржа и прецизнија дијагностика за све пацијенте

Мунтифункционални ултразвучни апарат пре десетак дана стигао у Општу болницу. Апарат се састоји од три сонде и користи се на Коронарној јединици где се лече најтежи али је доступан и пацијентима у амбуланти. Захвлајући овим сондама једним ултразвучним прегледом пацијенту могу да се обаве ултразвук срца, абдомена, крвних судова, штитне жлезде и других органа.

14

Aug

Залихе крви релативно стабилне, недостају негативне крвне групе

Залихе крви релативно стабилне али недостају крвне групе са РХ негативним фактором. У току су акције добровољног давања крви и из Црвеног крста Панчево апелују на грађане да дођу и дају крв и помогну оним суграђанима чије је здравље угрожено

12

Aug

12. Август – Међународни дан младих

Међународни дан младих обележава се сваке године 12. августа, скрећући пажњу младих на питања младих и славећи потенцијал младих као партнера у данашњем гловалном друштву.

05

Aug

Прва недеља августа – Светска недеља дојења

Светска недеља дојења се обележава сваке године од 1. до 7. августа, са циљем да се истакне значај дојења за здравље мајке и детета. Ова недеља представља прилику да се подигне свест јавности о предностима дојења и подршка коју мајке треба да добију како би успешно дојиле своју децу.

05

Aug

Хепатитис

Хепатитис је вирусно запаљење јетре изазвано вирусима хепатитиса (тип А, Б, Ц, Д, Е и други). Вируси хепатитиса Б и Ц се најчешће преносе путем крви, могу изазвати акутни и хронични облик, а нелечен хронични хепатитис временом може довести до цирозе или рака јетре. Међу главним су узрочницима карцинома јетре, узрокујући више од милиона смртних случајева широм света годишње.

05

Aug

КОРОНАРОГРАФИЈА

Коронарографија је високодиферентна, високоспецифична, инвазивна кардиолошка дијагностичка процедура којом се помоћу софистициране радиолошке апаратуре приказују срчани крвни судови или коронарне артерије, које срцу доносе артеријску крв. Изводи се специјалним катетером и применом контрастног средства.

05

Aug

ХРОНИЧНЕ БОЛЕСТИ ПЛУЋА

Хроничне болести плућа представљају групу болести које су дуготрајне и прогресивне, а често се карактеришу упалом и оштећењем плућног ткива. Ове болести обухватају низ стања која утичу на функцију респираторног система, а најчешће су повезана са излагањем штетним супстанцама као што су дувански дим, индустријски токсини и аеросоли, као и са генетским факторима.

05

Aug

Безбедна вожња у путничком аутомобилу на високим температурама

Лето је период годишњих одмора и путовања, али и високих температура. Летње дане многи грађани користе за путовања, међутим појачан умор због дугих вожњи, неприлагођена брзина и велике врућине су неки од разлога због којих у летњим месецима долази до већег броја саобраћајних незгода на путевима. Да би се број саобраћајних незгода смањио  у време летње сезоне потребно је да возачи буду опрезнији и да уваже препоруке како би што безбедније стигли на жељену дестинацију.

05

Aug

Препоруке за општу популацију за поступање у току топлог времена

Трудите се да вам животни простор увек буде расхлађен. Идеално би било одржавати собну температуру испод 32oC током дана, односно испод 24oC током ноћи. Ово је нарочито важно за децу узраста до 2 године, особе старије од 60 година, као и за хроничне болеснике.

03

Aug

Организована друга летња колопратолошка радионица

Панчевачка болница је у светским токовима науке и медицине када су хирушке интервенције у питању. Данас је имала прилку да угости експерта лапароскопске и роботске хирургије за колоректалну хирургију доктора Џејмса Нагула из Сингапура који је оперисао заједно са панчевачким хирурзима.

03

Aug

Све службе у Општој болници Панчево раде пуним капацитетом и током лета

Број пацијента који долазе у Пријемно ургентну службу као и Специјалистички центар није смањен током летњих месеци. Болница ради пуним капацитетом, број операција и других интервенција није смањен због годишњих одмора, истиче ПР Опште болнице др Слађана Ковачевић.

19

Jul

Упале уха чешће лети

"Чешће упале спољашњег и средњег уха су у летњим месецима. Разлог је посета купалиштима и неадекватна хигијена после изласка из воде. Повећан је број пацијента који су потражили помоћ код оториноларинголога", истиче начелник ОРЛ службе у Општој болници Панчево др Вељко Божић.

18

Jul

АНТИАРИТМИЦИ

Антиаритмици су лекови за лечење неправилног ритма рада срца. Као антиаритмици могу се користити четири групе кардиолошких лекова – блокатори натријумских и калијумских канала – антиаритмици у ужем смислу, бета блокатори, блокатори калцијумових канала и срчани гликозиди (дигоксин, метилдигоксин).Међутим, појам антиаритмици обично је резервисан само за блокаторе натријумских и калијумских канала, па стога кажемо да су блокатори натријумских канала антиаритмици у ужем смислу.

18

Jul

НЕОНАТАЛНА АСФИКСИЈА (Асфиксија код новорођенчади)

По дефиницији Светске здравствене организације неонатална асфиксија представља стање у коме новорођенче не успева да успостави нормално дисање убрзо након рођења, што доводи до недостатка кисеоника (хипоксије) и повећања угљен-диоксида (хиперкапније), а може резултирати оштећењем органа, нарочито мозга.

16

Jul

Ванредне акције добровољног давања крви у летњим месецима

Улица Жарка Зрењанина бр. 15 добро је позната адреса за све људе хуманог срца који желе да помогну свима којима је потребна крв. Сем средом, када је регуларна акција, Црвени крст Панчево организује још једну понедељком од 9 до 15 сати.

14

Jul

Полицистични јајници

Полицистични јајници, познатији под скраћеницом ПЦОС (од енг. Polycystic Ovary Syndrome), представљају један од најчешћих хормонских поремећаја код жена репродуктивног доба. Сматра се да између 5% и 10% жена широм света има неки облик овог синдрома. Иако најчешће доводи до проблема са овулацијом и менструацијом, ПЦОС такође има бројне системске ефекте који могу нарушити целокупно здравље жене. 

05

Jul

ЦЕРВИКАЛНА ИНТРАЕПИТЕЛИЈАЛНА НЕОПЛАЗИЈА- ЦИН

Цервикална интраепителијална неоплазија (ЦИН)- Цервикална дисплазија- Цервикална интерстицијална неоплазија је преинвазивна промена на грлићу материце, за коју се данас зна да, иако се не лечи, у већини случајева се спонтано повлачи. Међутим, ова промена се током времена може развити у инвазивни карцином или рак грлића материце.

05

Jul

Акција добровољног давања крви 7. јула

У понедељак, 7. јула акција ће бити организована у Панчеву, у просторијама Црвеног крста, од 9 до 12 часова. Завод за транфузију позива све грађане, који желе и који су здравствено способни да се одазову овој акцији.

04

Jul

Превремено рођена беба - прематурус

По дефиницији Светске здравствене организације превремено рођеним дететом се сматра оно које је рођено пре 37. недеље трудноће и са порођајном тежином од 2500г или мање.

30

Jun

Вртоглавица и крварење из носа све чешћи због паклених температура

Топло време и високе температуре у јуну, чак преко 35 степени углавном нам сметају и жалимо се да нам је претопло. Међутим нашем организму не пријају и потребно је време да се привикнемо. Због високих летњих температура повећан је број пацијената који су помоћ потражили код лекара због вртоглавице и изненадног крварења из носа које нису могли да зауставе.

28

Jun

Симптоми стомачног вируса

Када мала деца добију стомачни вирус често повраћају и имају пролив. Могу имати и болове у стомаку и повишену телесну температуру. Стомачне тегобе јесу инфекција често узрокована вирусом. Тегобе обично почињу неколико дана након што се дете заразило и појављују се нагло.

28

Jun

Бол у грлу

Честе промене дневне температуре и почетак јесени први су знаци да треба да поведете мало више бриге о здрављу. Једна од најчешћих сезонских бољки је непријатан бол у грлу.

28

Jun

Еритроцити - црвена крвна зрнца

Црвена крвна зрнца (еритроцити) су најбројнија врста ћелија у организму. Њихова основна улога је да транспортују кисеоник од плућа до ткива и угљен-диоксид у обрнутом смеру. Осим тога оне садрже ензим карбоанхидразу који катализује убрзава реакцију између угљен-диоксида и воде.

22

Jun

Мултипла Склероза

Мултипла склероза је болест мозга и кичмене мождине - централног нервног система. код мултипле склерозе имуни систем напада заштитни мијелински омотач који прекрива влакна нерава и тиме узрокује проблеме у комуникацији између мозга и остатка тела, може да изазове трајно оштећење нерава.

21

Jun

ПАРКИНСОНОВА БОЛЕСТ

Паркинсонова болест је неуролошко обољење које утиче на покретљивост, узрокујући тремор, крутост мишића, успореност покрета и проблеме са равнотежом и кретањем.

20

Jun

Мождани удар

Мождани удар (у народу познато као шлог) је једно од најтежих обољења које може задесити човека. Долази изненада, оставља последице, често у виду инвалидитета и често мења живот из корена не само оболелом, већ и његовој породици. АЛИ, оно што је охрабрујуће јесте чињеница да се у многим случајевима мождани удар може спречити.

20

Jun

НЕФРОЛОШКЕ БОЛЕСТИ

Нефролошке болести обухватају широк спектар обољења, укључујући акутне и хроничне болести бубрега, као и поремећаје уринарног система. Хронична бубрежна инсуфицијенција (HBI) је једна од најчешћих и најозбиљнијих болести у нефрологији, која се карактерише постепеним губитком функције бубрега током времена.

20

Jun

Транскатетерска замена аортног залиска

(TAVI- transcatheter aortic valve implantation ili TAVR – transcatheter aortic valve replacement) је поступак којим се коригује функција оболелог аортног залиска кроз имплантацију вештачког залиска. Замена аортног залиска такође се може извршити хирургијом на отвореном срцу; поступак се назива хируршка замена аортног залиска (SAVR).

20

Jun

Вилсонова болест

Вилсонова болест је наследни поремећај који карактерише накупљање бакра у мозгу и јетри. Бакар је есенцијални микронутријент организма. Поред гвожђа и цинка трећи је најзаступљенији елемент у траговима у организму. Његова способност да ствара слободне радикале чини га токсичним за ћелију. Јетра је централни орган у хомеостази бакра. Болест се наслеђује, у генетској основи је аутозомно рецесивни тип наслеђивања и то мутација гена на 13. хромозому.

20

Jun

Да ли исхраном можемо помоћи телу да лакше поднесе вреле летње дане?

Са растом темпертуре тражимо храну која ће нам олакшати врућину и обично у тим тренутцима посежемо за хладним газираним пићима, хладном водом из фрижидера.Хладна пића расхлађују само горњи део пробавног система и брзо попримају температуру тела, уствари постижемо контра ефекат јер тело троши енергију на загревање воде што резултира повећањем температуре тела.

11

Jun

Трибина у Панчеву: Стручњаци говорили о унапређењу женског здравља

У Панчеву је одржана трибина посвећена унапређењу женског здравља под називом „Женско здравље из угла гинеколога и уролога“. Са присутнима су о најчешћим здравственим проблемима жена, њиховом лечењу и превенцији разговарале докторке Слађана Ковачевић и др Мирела Матејић.

11

Jun

Током ноћи прегледано преко 100 пацијената у Општој болници Панчево

Велики број пацијената прегледан је у Ургентној служби Опште болнице Панчево, том приликом прегледано је сто десет пацијената од којих је највише било збринуто у интернистичкој амбуланти али су и ортопеди, неуролози и радиолози имали доста посла.

31

May

31. Мај – Светски дан без дуванског дима

Сваке године 31. маја, Светска здравствена организација (СЗО) и њени партнери обележавају Светски дан без дуванског дима, истичу здравствене и друге ризике који се повезују са употребом дувана и залажу се за делотворне политике којима се смањује употреба дувана.

29

May

Дерматолози упозоравају: Често изливање ноктију и употреба самопотамњивача могу оштетити кожу

На штетност од УВ зрачења у соларијумима дерматолози су стално упозоравали. У Аустралији су чак и забрањени, све мањи број девојака одлази на потамњивање. Сада се појавила нова метода како да добијете бронзану боју захваљујући препаратима за потамњивање.

29

May

Гост емисије „ Здрав и прав“ др Станислав Милошевић, кардиолог и начелник Интерног блока Опште болнице Панчево.

Тема емисије била је пре свега срчана инсуфицијенција или у народу позната као слабост срца, болест која може да задеси сваког, симптоми не морају бити уочљиви одмах али нажалост када се постави дијагноза која је прилично озбиљна, суочавамо се са тим проблемом. О овоме говорио је др Станислав Милошевић, кардиолог и начелник Интерног блока Опште болнице Панчево

22

May

22. мај – Међународни дан биолошке разноликости

Биодиверзитет, односно биолошка разноврсност подразумева разноликост живих организама. Заштита биодиверзитета је брига целог човечанства. Ради опстанка наше планете и квалитета живота човека и природе, свет би требало да се усмери на два главна циља: очување и рационално коришћење природе, што је од суштинске важности за одрживи развој и искорењивање сиромаштва и постизање Миленијумских циљева развоја.

22

May

Шта је тироидни чвор?

Чвор у штитастој жлезди (тироидни нодус) је ограничена промена грађе тироидне жлезде. Неке ограничене промене грађе, чворови, могу да се издвоје опипавањем, а много чешће дијагностикују ултразвуком и другим поступцима сликовног приказивања. Промене које се случајно открију у тироидном ткиву поступцима предузетим у циљу испитивања других структура врата називају се тироидни инциденталоми.

22

May

Које су предности дојења за дете и мајку?

Дојење представља физиолошки процес са позитивним аспектом како на мајку, тако и на дете. Према дефиницији Светске здравствене организације, дојење је један од најефикаснијих начина да се обезбеде здравље и оптималан раст и развој детета. Дојење представља много више од храњења — оно је најприроднији дар, најздравији начин исхране новорођенчета, одојчета и детета до навршене друге године.

21

May

Све чешће уринарне инфекције током летње сезоне

Уринарне инфекције су најчешћи проблеми који се јављају , првенствено код жена, али не заобилазе ни мушкарце. Поред малигних болести које се лече на Одељењу урологије Опште болнице Панчево, најчешћа болест која се јавља и због које пацијенти траже помоћ јесте уринарна инфекција.

21

May

Ешерихија коли: Савезник у цревима, непријатељ у бешици

Бактерија Ешерихија коли налази се у дигестивном тракту и игра значајну улогу јер помаже у процесу варења и одбране од патогених бактерија попут Шигеле и Салмонеле. Међутим одређени сојеви Ешерихије могу да изазову нелагодне инфекције како у пробавном, тако респираторном и уринарном систему. Она је најчешћи изазивач уринарних инфекција, чак 80 до 90 процената уринарних инфекција настаје због Ешерихије коли. Отпорна је на многе антибиотике али не треба је увек лечити.

15

May

15. мај- Међународни дан породице

Међународни дан породице обележава се сваке године 15. маја од 1994. године, када је први пут установљен након што је 1993. године генерална скупштина Уједињених нација донела резолуцију А/РЕС/47/237. Овај дан пружа прилику да се промовише свест о питањима која се односе на породице и да се повећа знање о социјалним, економским и демографским процесима који утичу на породице.

15

May

Подела беби опреме, бебама рођеним у Породилишту Опште болнице Панчево од 8. до 15. маја, поводом Међународне недеље Црвеног крста у просторијама Црвеног крста Панчево

Бебе рођене од 8. до 15. маја у породилишту Опште болнице Панчево било да припадају и другој општини сачекаће поклони који је обезбедила Покрајинска влада Војводине у сарадњи са Црвеним крстом Србије и Војводине, а поклони се могу подићи у улици Жарка Зрењанина број 15. у просторијама Црвеног крста Панчево.

14

May

14. мај – Светски дан борбе против хипертензије

Светски дан борбе против хипертензије обележава се сваке године са циљем подизања свести о важности превенције, раног откривања и контроле високог крвног притиска (хипертензије) који је један од главних фактора ризика за развој срчаних и можданих болести.

12

May

У Народној башти, 12. маја, обележен Међународни дан сестара и медицинских техничара

12. маја, Базаром здравља у Народној башти Панчева обележен је Међународни дан медицниских сестара и техничара у знак сећања на Флоренс Најтингејл чијом је заслугом сестринство признато као професија. Оснивањем прве школе за медицинске сестре у Лондону, сада већ давне 1860.године, Флоренс је иницирала улазак професионално образованих жена у здравствену негу болесних .

12

May

Базар здравља у част Дана сестринства

Међународни дан медицинских сестара обележава се широм света 12. маја у знак сећања на Флоренс Најтингел, британску медицинску сестру зачетницу модерног сестринства као признате професије. Медицинске сестре из Опште болнице Панчево, Дома здравља Панчево, Завода за Јавно здравље Панчево, Медицинске школе „Стевица Јовановић“ у Народној башти организовали су Базар здравља.

11

May

11. мај – Национални дан добровољних давалаца крви

Национални дан добровољних давалаца крви обележава се сваке године 11. маја, у оквиру Недеље Црвеног крста (8-15. мај) у част првог добровољног даваоса крви, Будимира Гајића из Белановице код Љига. На предлог др Николе Крстића, хирурга из Београда и солунског борца, Будимир Гајић, борац са прве линије фронта, у пољској болници у околини Солуна, крајем 1916. године као добровољан давалац први се јавља и даје крв за непознатог рањеника. Следећег јутра одбио је понуђену поштеду и са својим саборцима отишао је у нову борбу.

09

May

Деца и страни предмети - Хитна стања на Дечијем интерном одљењу Опште болнице Панчево

Мала деца су истраживачи, желе све да пробају и нису ретки случајеви на Дечијем интерном одељењу Опште болнице Панчево да родитељи у паници доводе децу која су прогутала страно тело, то јесу ургентна стања када је неопходан хитан преглед лекара истиче докторка Бранка Пријовић педијатар.

05

May

Међународни дан бабица – 5. мај 2025. године.

У знак признања за изузетан рад бабица широм света, 5. мај се обележава као Међународни дан бабица. Овај дан је установљен 1992. године од стране Међународне конфедерације бабица (ICM) како би се истакла њихова кључна улога у обезбеђивању безбедних порођаја, као и у подршци мајкама и новорођенчадима.

04

May

5. мај – Међународни дан борбе против астме

Светски дан астме обележава се сваке године 5. маја на иницијативу Глобалне иницијативе за астму (GINA). Овај дан представља прилику да се скрене пажња на астму као хроничну болест која погађа милионе људи широм света, а циљ обележавања није само информисање, већ и рушење бројних предрасуда које окружују ову болест, као и подстицање бољег разумевања и значаја раног препознавања симптома и правилног лечења.

04

May

Шта је форамен овале?

Форамен овале је природни отвор у интератријалном септуму (зиду који раздваја десну и леву преткомору срца) који постоји током феталног развоја. Његова функција је кључна за феталну циркулацију: омогућава директан проток крви из десне у леву преткомору, чиме се заобилази плућна циркулација, будући да фетална плућа нису функционална и нису укључена у процес оксигенације крви.Након рођења, с првим удахом и ширењем плућа, долази до наглог пораста притиска у левој преткомори, што доводи до функционалног затварања форамен овале-а. Током наредних месеци, у већини случајева долази и до анатомског затварања отвора фиброзом ткива.

28

Apr

28. април - Светски дан безбедности на раду

Међународна организација рада обележава овај дан организовањем кампања за подизање свести, која фокусира пажњу међународне јавности на проблеме у овој области и промоцију безбедности и здравља на раду.

23

Apr

Еклампсија и прееклампсија

Еклампсија и прееклампсија су озбиљна стања која се могу јавити током трудноће и која представља велике ризике на здравље труднице и фетуса. Ова стања су повезана са повишеним крвним притиском и оштећењем органа, посебно бубрега и јетре.

20

Apr

20. април - Међународни дан заштите од буке

Двадесетог априла сваке године обележава се Међународни дан заштите од буке. Циљ обележавања је да се кроз различите активности ради на подизању свести о овом проблему. Процењује се да у Европској Унији, око 56 милиона људи (око 54%) живе у средини изложеној саобраћајној буци већој од дозвољене просечне вредности, која се сматра ризичном за здравље.

19

Apr

Вакцинација као мера примарне превенције за настанак карцинома грлића материце

Хумани папилома вирус (ХПВ) је један од најчешћих узрока полно преносивих болести на глобалном нивоу у популацији мушкараца и жена. Сматра се да је широко распрострањен у општој популацији и међу свим узрасним групама, као и да свака друга полно активна особа током живота долази у контакте са ХПВ – ом. ХПВ се преноси контактом кожа на кожу или кожа на слузницу,а симптоми инфекције су различите јачине.

18

Apr

Прогресивна супрануклеарна парализа

Прогресивна супрануклеарна парализа је пропадање мозга. Међутим при праћењу њене инциденце и преваленце у последње време је уочена повезаност са одређеним генским предиспозицијама.

18

Apr

Срећан Ускрс!

Највећи хришћански празник започињемо Великим петком, најтужнијим даном хришћанства. Овај дан посвећујемо Христовом страдању. Проведимо га у миру и молитви у кругу својих породица.

15

Apr

Хркање као симптом системских болести

Хркање може бити симптом различитих системских болести, а није само повезан са сном или поремећајима дисања током спавања. У неким случајевима, хркање може указивати на озбиљније здравствене проблеме.

15

Apr

Деца под спектром аутизма – сликари, фотографи и најбољи пријатељи

Звезда америчког фудбала, Дан Орловски, ових дана постао је виралан на друштвеним мрежама јер је студио у коме је говорио о актуелним спортским дешавањима био излепљен веома интересантним цртежима, за које се испоставило да је све до једног нацртао његов син који потпада под спектром аутизма. То је још једном подсетило нацију на то колико је битно интегрисати децу под спектом аутизма у свакодневне животне токове, јер из дана у дан показују колико талената „чучи“ у њима. Аутизам и уметност имају веома снажну и посебну везу – а посебну „ноту“ даје њихова креативност и често дубоко емотиван начин изражавања.

14

Apr

Френулум

Френулум језика је танки комадић ткива који се налази испод језика и повезује га са дном усне шупљине. Френулум игра важну улогу у нормалном кретању језика, а његове функције укључују омогућавање слободног покрета језика у процесу говора, жвакања, гутања и дисања.

14

Apr

Хипофиза

Хипофиза је величине зрна грашка и тежине нешто више од пола грама. Природа се потрудила да ову жлезду добро сакрије, заштити и постави је у сам центар лобање, што показује колики је њен значај за наше тело, једино што њена величина не одговара њеном значају! Није чудо што је раније, када се није знало за утицај хипоталамуса, њен популарни назив био „жлезда господар”.

12

Apr

Дијализа и трансплантација бубрега

Дијализа и трансплантација бубрега су два кључна метода лечења пацијената са крајњим стадијумом бубрежне болести, када бубрези више нису у стању да обављају своје основне функције, као што су филтрација отпадних материја и одржавање равнотеже електролита у организму.

09

Apr

Психомоторни развој одојчета

Психомоторни развој одојчета је сложен процес који зависи од више међусобно повезаних фактора. Ови фактори могу бити урођени (генетски) или стечени (утицај околине), а њихово дејство може убрзати или успорити развој детета.

08

Apr

Хемофилија

Хемофилија је генетска болест која се наслеђује X-хромозомално, што значи да се најчешће јавља код мушкараца, док жене су углавном носиоци гена који изазива ову болест. Мушкарци имају један X хромозом, па ако наследе дефектни ген на овом хромозому, развиће хемофилију.

06

Apr

7. април – Светски дан здравља

Сваке године 7. априла обележава се Светски дан здравља. Од свог оснивања на Првој здравственој скупштини 1948. године, и од ступања на снагу 1950. године, прослава овог дана има за циљ стварање свести о одређеној здравственој области која представља приоритет за сваку годину.Током последњих 50 година, кампање овог типа су скренуле пажњу на важне здравствене проблеме попут менталног здравља, бриге о мајкама, деци, и климатским променама. Прославе се обележавају активностима које нису фокусиране само на тај конкретан датум, него се апелује на јавност да се брига о здрављу спроводи током целе године и служи као прилика да се светска пажња усмери на ове важне аспекте глобалног здравља.

06

Apr

Дисеминована интраваскуларна коагулација

Дисеминована интраваскуларна коагуалција (ДИК) стечени је поремећај хемостазе који се испољава дисеминованим тромбозама у малим крвним судовима, са иреверзибилним оштећењем органа и крварењем.

04

Apr

ПАРКИНСОНОВА ВОЛЕСТ

Паркинсонова болест је хронична неуродегенеративна болест која се манифестује карактеристичним симптомима. Јавља се као последица изразитог недостатка неуротрансмитера допамина у делу мозга одговорном за контролу вољно кординираних покрета и почетак неке моторичке радње.

04

Apr

Нове операције у Општој болници Панчево захвљујући савременом ултразвучном апарату

После новог ултразвучног апарата, који је недавно стигао у Општу болницу Панчево на Уролошко одељење, уведене су нове операције због којих су пацијенти раније морали одлазити у друге здравствене установе.

29

Mar

Уринарна инконтиненција

Уринарна инконтиненција представља значајан здравствени проблем који погађа велики број људи, нарочито жена у средњем и старијем животном добу. Ово стање не само да изазива физичке тегобе, већ може имати и озбиљан утицај на квалитет живота пацијената, смањујући њихово самопоуздање и социјалну активност. С обзиром на учесталост овог проблема и његове последице, неопходно је разумети узроке, врсте и могућности лечења у циљу побољшања здравља и благостања пацијената.

29

Mar

Гестацијски дијабетес- дијабетес у трудноћи

Гестацијски дијабетес мелитус се дефинише као било који степен интолеранције глукозе. Може се јавити у трудноћи као пролазни поремећај који нестаје након порођаја, док код неких жена се може појавити као дијабетес тип 1 који траје и након порођаја. Гестацијски дијабетес у великом проценту не угрожава живот жене, али појава хипергликемије може повећавати фетални морбидитет.

24

Mar

24. март – Светски дан борбе против туберкулозе

Светски дан борбе против туберкулозе (ТБ) обележава се 24. марта, на дан када је 1882. године професор Роберт Кох објавио своје откриће бацила туберкулозе (Micobacterium tuberculosis), узрочника ове болести. Република Србија се придружује овогодишњој међународној кампањи, под слоганом: ,, Да! Ми можемо сузбити ТБ: Обавезати се, Инвестирати, Спровести!

21

Mar

Уринарна инконтиненција

Уринарна инконтиненција представља значајан здравствени проблем који погађа велики број људи, нарочито жена у средњем и старијем животном добу. Ово стање не само да изазива физичке тегобе,већ може имати и озбиљан утицај на квалитет живота пацијената, смањујући њихово самопоуздање и социјалну активност. С обзиром на учесталост овог проблема и његове последице, неопходно је разумети узроке, врсте и могућности лечења у циљу побољшања здравља и благостања пацијената.

21

Mar

22. март – Светски дан вода

Светски дан вода обележава се сваке године 22. марта у циљу скретања пажње на изузетну важност воде и водних ресурса. Овај дан прославља воду као основни ресурс живота и подиже свест о томе да 2,2 милијарде људи у свету и даље нема доступну здравствено безбедну воду за пиће.

19

Mar

21.март – Светски дан посвећен особама са Дауновим синдромом

Да ли сте знали да Даунов синдром погађа отприлике 6.000 беба при рођењу сваке године? Дакле, 21.марта — датума изабраног да представља хромозомски дефект који се налази код Дауновог синдрома (двадесет први дан трећег месеца) —обележавамо Светски дан особа са Дауновим синдромом, догађај створен да подигне свест јавности, промовише инклузивност, подстакне залагање и подржавају добробит оних који живе са Дауновим синдромом.

19

Mar

Исхрана код метаболичког синдрома

Метаболички синдром је последица низа повезаних болести који се јављају код једне особе. То укључује инсулинску резистенцију, повишен крвни притисак (хипертензију) и поремећај нивоа холестерола у крви. Особе са метаболичким синдромом су често изразито гојазне. Знање о постојању везе између метаболичких поремећаја и кардиоваскуларних болести постоји већ 80 година. Метаболички синдром често доводи до настанка дијабетеса типа 2. У медицини се метаболички синдром означава још и као синдром X, синдром инсулинске резистенције или дисметаболички синдром.

19

Mar

СИНУЗИТИС 

Синузитис представља упалу параназалних синуса која може бити акутна или хронична. Ово обољење је један од најчешћих узрока посета лекару због респираторних тегоба. Разликује се по тежини симптома, узроку и начину лечења.

18

Mar

КАТАРАКТА

Катаракта или сива мрена представља замућено подручје у очном сочиву које доводи до смањења квалитета вида.Природно очно сочиво је прозиран део ока који помаже фокусирању светлости на унутрашњи зид ока, мрежњачу.

13

Mar

Дијабетесна кетоацидоза (ДКА)

Дијабетесна кетоацидоза (ДКА) је веома тежак метаболички поремећај који се јавља код особа са типом 1 шећерне болести. Настаје због накупљања кетонских тела у крви (више од 7 ммол/л), пада пХ крви испод 7,25 и/или серумских бикарбоната испод 17 ммол/л.

13

Mar

ДЕФИЦИТ ВИТАМИНА Б12

Витамин Б12 је есенцијални чинилац у хематопоези и функцији нервног система. Иако је слабо растворљив у води, сврстава се у хидросолубилне витамине. Термостабилан је и претежно заступљен у храни анималног порекла.

12

Mar

13. март – Дан борбе против глаукома

Светски дан борбе против глукома обележава се сваке године 13.марта, с циљем подизања свести о овој озбиљној очној болести, која може довести до трајног губитка вида. Овај дан је део Светске недеље глаукома, која траје од 10.до 16.марта и представља глобалну иницијативу офтамолошких удружења, медицинских стручњака и организација које се баве здрављем ока.

12

Mar

Анемија у хроничној бубрежној инсуфицијенцији

Анемија у хроничним болестима (АХБ) веома је чест облик анемије који је посредован цитокинима. Друга анемија по учесталости у клиничкој пракси и најчешћи је облик анемије међу хоспитализованим болесницима.

07

Mar

Поремећаји штитне жлезде

Најучесталији облици тиронидног поремећаја или обољења су: гушавост или струма (повећана штитна жлезда са нормалном функцијом), хипертироза (појачана функција), хипотироза (смањена функција), тирсоидитис (упала штитне жлезде) и карциноми.

07

Mar

СРЕЋАН 8. МАРТ!

Време, у ком живимо, не даје много простора да човек застане,осврне се око себе и укаже довољно пажње онима који је заслужују. Сваким даном схватамо значај жртве, коју су неки људи дали да се изборе за женска права. Наравно да није довољан ни један век, а камоли један дан да Њено величанство Жена седи на свом престолу.

28

Feb

Међународни дан ретких болести

Међународни дан ретких болести обележава се на иницијативу Европске асоцијације удружења оболелих од ретких болести последњег дана фебруара, седамнаесту годину за редом. У циљу упознавања јавности са проблемима са којима се срећу оболели од ретких болести и њихове породице, тога дана интензивирају се активности којима се указује на могућност квалитетнијег и садржајнијег живота оболелих и њихових породица уз потребну здравствену и социјалну подршку.

28

Feb

Како несаница утиче на дневне активности и функционисање?

Несаница је важан савремени проблем јавног здравља и захтева тачну дијагнозу и ефикасно лечење. Несаница се дефинише као субјективна перцепција отежаног отпочињања или трајања спавања или његове консолидације, или осећај који се јавља упркос адекватној могућности да се спава, а који се јавља у виду неког поремећаја током дневног функционисања. Несаница може да се прикаже у виду читавог низа тегоба и етиологија, што дијагностику и лечење несанице чини врло комплексном за лекара.

25

Feb

Бронхијална астма

Бронхијална астма је хронична болест малих дисајних путева. Болест настаје као последица преосетљивости бронхијалних путева на различите алергијске и неалергијске дражи. Испољава се нападима гушења, свирањем у грудима уз кашаљ са окудним искашљавањем. Напади кашља и гушења могу спонтано проћи или, пак, после узимања лекова. Напади гушења могу бити променљиве тежине и учесталости, односно од благих и ретких, до врло тешких и учесталих, који се некада завршавају статусом асматикусом , тј непрекидним и дуготрајним нападом гушења које траје преко 24 часа.

25

Feb

Апцес плућа

Апцес плућа је локализовано гнојно жариште у плућима, праћено изумирањем и распадањем захваћених делова, при чему се у плућима ствара шупљина. Узрочник апцеса плућа може бити било који пиогени микроорганизам : стафилокок, пнеумокок, клебсиела, стрептокок.. Апцес може настати као последица удисања страног тела , као и услед аспирације повраћеног садржаја.

25

Feb

Алкохолни хепатитис

Алкохолни хепатитис представља запаљење ткива јетре, које је узроковано алкохолом. То је један од облика алкохолног оштећења јетре . Овај пут сазнаћемо нешто о акутном алкохолном хепатитису , али постоји и хронични алкохолни хепатитис изазван хроничним алкохолизмом, који често прелази у цирозу јетре.

25

Feb

Спавање и поремећај спавања

Спавање може да се дефинише као стање смањене перцепције и реаговања на спољне дражи, које је физиолошко, реверзибилно и рекурентно (понавља се у правилним интервалима) и које је праћено сложеном комбинацијом бихевиоралних (хркање, мрмљање, окретање у кревету) и биолошких процеса (измена дисања, рада срца, секреције хормона, терморегулације).

20

Feb

Поводом 195 година рада са посебним заслугама у здравственој делатности, Општа болница Панчево добила је Сретенски орден првог реда Републике Србије.

То је награда за све генерације лекара, медициснких сестара и осталих запослених који су вековима својим радом допринели да Општа болница Панчево буде здравствена установа која може омогућити квалитетно лечење свим пацијентима. У име запослених орден је примио др Слободан Овука, директор Опште болнице Панчево

16

Feb

Председник Србије Општој болници Панчево уручио Сретењски орден првог степена

Председник Србије Александар Вучић, поводом Дана државности, доделио је Сретењски орден првог степена Општој болници Панчево, која слави 195 година постојања. Орден је, у име болнице, примио директор Oпште болнице Панчево, др Слободан Овука.

16

Feb

Гостовање директора Опште болнице Панчево, др Слободана Овуке у емисији „Хајде да разговарамо"

Председник Србије Александар Вучић, поводом дана државности, Општој болници Панчево доделио је Сретнски орден првог степена. Орден је, у име болнице, примио директор Опште болнице Панчево, др Слободан Овука.

12

Feb

Председник Србије Александар Вучић уручиће Сретењски орден Општој болници Панчево

Председник Републике Србије Александар Вучић, на Дан државности, Сретење, уручиће Сретењски орден првог степена Општој болници Панчево, поводом 195 година постојања ове здравствене установе. Орден ће, у име Болнице, примити директор др Слободан Овука.

09

Feb

Обележавање 144 година Црвеног крста Панчево уз акцију добровољног давања крви

Поред акције добровољног давања крви које Служба за трансфузију Војводине сваке среде организује у просторијама Црвеног крста Панчево данас су даваоцима делчјени и пригодни поклони поводом обележавања 144 године Црвеног крста Панчево.

09

Feb

Ендокринолошка амбуланта у Општој болници Панчево поново ради сваког дана

„У највећем броју специјалистичких амбуланти у Општој болници Панчево нема листе чекања или су оне минималне", напомиње начелник интернистичког блока Опште болнице Панчево, специјалиста кардиологије др Станислав Милошевић.

31

Jan

31. јануар - Национални дан без дуванског дима

У Србији се 31. јануара обележава Национални дан без дуванског дима. Активностима у оквиру обележавања Националног дана без дуванског дима упозоравају јавност на штетне ефекте употребе дувана, као и последице излагања дуванском диму.  Oве године се Национални дан без дуванског дима обележава под слоганом ,,СВАКА ЦИГАРЕТА СМЕТА".

31

Jan

Одржана трибина у Дому културе у Јабуци поводом Европске недеље борбе против рака грлића материце

У среду, 29. јануара у Дому културе у Јабуци у 17 сати била је одржана трибина под називом „Буди бржа. Превенцијом сачувај себе“, поводом Европске недеље борбе против рака грлића материце. На трибини је говорио др Слободан Овука, др Љиљана Лазић, др Зорица Сокић и др Драгана Ђорђевић Антонијевић.

31

Jan

Зашто настаје рак грлића материце?

Рак грлића материце (карцином грлића материце, цервикални карцином) је трећи по учесталости малигни тумор у свету и са више од пола милиона нових случајева сваке године. Већина случајева рака грлића материце (око 80%) открива се у мање развијеним регионима света. Србија је 2002. године имала највећу инциденцију рака грлића материце у Европи.

24

Jan

Акција добровољног давања крви за запослене у полицијским станицама Јужног Баната

Полицијска управа у Панчеву у сарадњи са Црвеним крстом Панчево организује је акцију добровољног давања крви, која ће бити одржана 24. јануара у од 10 до 13 часова у згради ПУ у Панчеву, улица Милоша Обреновића број 1, у спортској сали. Акцији ће се прикључити запослени у ПУ Панчево и полицијским станицама на подручју Јужног Баната.

19

Jan

Полицајци ПУ Панчево помогли малој Лени да дође на свет

Припадници ПУ у Панчеву Милић Предраг, Јаћимовић Александар и Аврамовић Вања обављајући редовне задатке патролирања Панчевом, наишли су на забринутог мушкарца поред паркираног аутомобила. Милан Максимов чекао је своју куму, којој је изненада кренуо порођај.

19

Jan

Нови апарати и стручни лекари за још квалитетнију негу у Општој болници Панчево

„У Општој болници током прошле године набављен је велики број савремених апарата који побољшава квалитет пружања услуга нашим суграђанима", истакла је ПР Опште болнице Панчево, начелник и специјалиста Урологије др Слађана Коваћчевић и додала да се са специјализација вратио велики број лекара који ће радити.

13

Jan

Срећна српска Нова година!

Пред нама је још један празник, Јулијанска нова година, код нас познатија као Српска нова година. Желим вам, да вам овај празник донесе срећу, здравље, мир и благостање! У овој години желим вам, такође, пут до оздрављења ако сте болесни, пут до среће ако сте несрећни и пут до породичне хармоније! Јер не заборавите, поред здравља, здрава породица је основ среће!

10

Jan

Повећан број интервенција у Општој болници Панчево током празника

Поред кардиоваскуларних болесника који су потражили помоћ било је и суграђана који су се повредђивали услед падова због поледице, лакше повреде су биле изазване петардама али било је и падова изазваних услед спортских активности

10

Jan

Штапићи за уши могу довести до озбиљног повређивања бубне опне

Претерана хигијена разним средтвима која су агресивна могу изазвати промене и оштења на кожи. Често када се купамо осетимо да су нам уши запушене и приликом чишћења користимо штапиће за уши како би уклонили церумен односно масноћу из уха. Да ли је то погрешно објаснио је др Вељко Божић начелник ОРЛ одељења у Општој болници Панчево

10

Jan

Хашимото тиреоидитис -ултразвучне карактеристике

Хашимото тиреоидитис је аутоимуно обољење штитасте жлезде и представља водећи узрок стечене хипофункције штитасте жлезде. Тиреоидна секција Немачког друштва ендокринологије препознаје хроничну лимфоцитну форму са струмом и без ње и тај ентитет назива аутоимуним тиреоидидтисом, Хашимото тиреоидитисом, атрофичним аутоимуним тиреоидитисом и примарним микседемом. Англоамерички аутори праве разлику између аутоимуног тиреоидитиса и Хашимото тиреоидитиса.Болест је чешћа код жена него код мушкараца, посебно у средњим годинама, али може се јавити у било ком животном добу.

10

Jan

Дисеминована интраваскуларна коагулација

Дисеминована интраваскуларна коагулација (ДИК) стечени је поремећај хемостазе. Карактерише се бројним тромбозама, у малим крвним судовима, које могу довести до иреверзибилног оштећења органа, а клинички се најчешће испољава тешким, благим или супклиничким крварењем.

10

Jan

Др Вељко Божић специјалиста оториноларингологије и начелник ОРЛ одељења Опште болнице Панчево био је гост јутарњег програма „Буђење уз ТВ Панчево“

Овом приликом др Вељко Божић причао је о данима током празника и посетама лекарима тих дана. Најчешће су људи долазили због уобичајених разлога, на ОРЛ су долазили због високог притиска, крварења из носа, вртоглавица, у склопу других тегоба. Осцилације притиска прате нестабилно време, исхрана, нерегулисан крвни притисак, лоши крвни судови у пределу носа, или нека крварења која нису видљива. Ако крварење пацијент не може регулисати дигиталном компресијом онда саветујемо да дође у здравствену установу, како бисмо ми решили тај проблем. Често се дешавају било због механичке повреде или лоше хигијене деце. Повремено се дешава да деца или прогутају страна тела или буду у носу.

06

Jan

Срећан Бадњи дан и Божић!

Ближи нам се најрадоснији и најсвечанији празник у нашој религији, празник рођења Исуса Христа! Управо због тога се и Божић сматра најрадоснијим хришћанским празником. Свима вам желим испуњен и срећан Божић, прославите га у здрављу, срећи, с’ осмехом на лицу, и песмом у срцу.

31

Dec

Иновативне операције на одељењу Урологије, Општој болници Панчево

На одељењу Урологије Опште болнице Панчево урађена иновативана операција карцинома простате. Захваљући нашим лекарима убудуће пацијенти са дијагнозом карцинома простате неће морати да одлазе у друге здравствене центре већ ће све моћи да обаве у Општој болници Панчево.

31

Dec

Срећна Нова 2025. година!

Долазак Нове године доноси са собом чаролију и наду за све нас. Желимо вам да се посветите прво себи и свом здрављу, јер када изгубите здравље, све остало постаје небитно. Будите срећни, јер срећа је покретач свега! Уживајте уз најмилије, праштајте и волите се. Нека вам вољени људи увек буду део живота, нека вас обасја срећа, здравље и љубав, јер то је смисао живота.

28

Dec

Од новембра у Очној болници нема листе чекања за oперацију катаркте.

Листе чекања на операцију катаракте у Oчној болиници Oпште болнице Панчево елиминисане су 21 новембра. Доктор Слободан Овука, директор Опште болнице истиче да су успели јер су већ дужи период радили већи број операција клтаракте и запослили су младе лекаре који су се вратили са специјализације.

28

Dec

Пакетићи за децу на Дечијем и ОРЛ одељењу Опште болнице Панчево

Нова година је прави тренутак да Деда Мраз унесе чаролију и исприча своју добро познату причу. Солидарност и брига за друге у тренуцима када су одвојени од од својих породица најбоље приказује данашња хуманитарна акција младих и одговорних људи.

24

Dec

ИЗЛАГАЊЕ ДЕЦЕ УВ ЗРАЧЕЊУ

Деца су осетљивија на штетне ефекте сунчевог зрачења због различите структуре коже и процеса меланогенезе у том узрасту, посебно пре друге године живота. Због тога су веома значајни посебан приступ и препоруке за заштиту од УВ зрачења у дечјем добу.

24

Dec

Најсавременији мониторинг у Jединици за мождани удар, неуролошког одељења Опште болнице Панчево

Недавно је у Јединицу за мождани удар у Oпштој болници Панчево стигао монитроринг који је био неопходан јер пружа велике могућности. Оно што је важно да се стање свих шест пацијента који се налазе у овој јединици може пратити истовремено.

24

Dec

УТИЦАЈ УВ ЗРАЧЕЊА И СОЛАРИЈУМА У НАСТАНКУ МЕЛАНОМА

Стратегија за превенцију рака коже требало би да буде усмерена ка избегавању непотребног и претераног излагања сунчевом зрачењу без адекватне заштите. У појединим земљама као што су Аустралија и САД, усвојене су дугорочне стратегије за превенцију рака коже. Основна начела тих стратегија су: информисати јавност о штетности УВ зрачења и неопходности адекватне заштите, обезбедити едукацију о заштити од сунца у предшколској и школској средини и радним срединама, смањити ризике везане за употребу соларијума, унапредити истраживања, праћење и процену превентивних акција против рака коже, итд.

24

Dec

Срећан Бадњи дан и Божић!

Божић је празник, који дочекујемо и прослављамо са најдражима. Нека тишина овог светог дана донесе Вашим срцима мир, љубав и нека Вам срећом дом заблиста!

16

Dec

Залихе крви стабилне

Залихе крви су тренутно стабилне али то није довољно јер нам предстоје празници и тешко је тада замолити хумане људе да дођу и дају крв. Сваке среде од 9 до 12 часова осим последње у месецу од 13 до 17 сати. Служба за трансфузију Војводине у просторијама Црвеног крста Панчево организује акције добровољног давања крви.

16

Dec

Жуч би требало оперисати на време

Бол испод десног ребарног лука, мучнина, тешкоћа код узимања појединих намирница може бити знак да се ради о камењу у жучној кеси. Иако многи операцију жучи сматрају лакшом хируршком интервенцијом, не мора да буде увек тако. Један од разлога је дуго одлагање операције, објаснио је хирург др Миња Стојановић начелник Одељења хирургије Опште болнице Панчево

16

Dec

Укинуте листе чекања на операцију катаракте

Претходних неколико месеци, нарочито у новембру, ванредно се радило у Очној болници Опште болнице Панчево и сада више нема листи чекања на операцију катаракте, иначе годишње буде хиљаду операција, а некада се на то чекало и годину две.

16

Dec

Поносни смо да објавимо да је по први пут у Општој болници Панчево коришћен апарат за трансфузију крви

Поносни смо да објавимо да је по први пут коришћен апарат за трансфузију крви „Catsmart" уређај компаније „Fresenius Kabi MedTech Europe", током царског реза у Општој болници у Панчеву који омогућава да се током операција крв пацијента филтрира и поново му се враћа у организам.

13

Dec

ЗНАЧАЈ ЕЛЕКТОКАРДИОГРАМА (ЕКГ)

Електрокардиограм (ЕКГ) је једна од најважнијих дијагностичких метода испитивања у кардиологији. Регистровање ЕКГ-а је веома деликатан поступак кога изводи медицинскса сестра и током кога се строго треба придржавати правила како би електрокардиограм био коректан и спреман за описивање од стране лекара.

12

Dec

Идиопатска интракранијална хипертензија

Код болесника који има едем папиле очног живца и жали се на упорне главобоље, неуролог је дужан да прво посумња на интракранијални тумор, опструктивни хидроцефалус, интракранијалну хипертезију и хипертензивну енцефалопатију.

10

Dec

Међународни дан људских права – 10. децембар

Дана 10. децембра 2024. године обележава се 76 година од једног од најреволуционарнијих глобалних преокрета: Универзалне декларације о људским правима. Овај значајан документ садржи неотуђива права на која свако има право као људско биће - без обзира на расу, боју коже, веру, пол, језик, политичко или друго мишљење, национално или социјално порекло.

07

Dec

Третман хипогликемије

Хипогликемија захтева ургентно деловање на месту догађаја, било да је то амбуланта или на терену. Хипогликемија представља акутно настало стање праћено бројним симптомима узрокованим смањењем глукозе у крви.

07

Dec

Дијабетес инсипидус

Дијабетес инсипидус је занимљиво обољење u чијој основи je поремећај стварања или деловања антидиуретичког хормона. Болест може бити фатална без одговарајућег лечења, а није лоше бар на поједностављен начин схватити њену суштину.

03

Dec

3. децембaр - Међународни дан особа са инвалидитетом

Обележавање Међународног дана особа са инвалидитетом 3.децембра проглашено је 1992.године Резолуцијом 47/3 Генералне скупштине Уједињених нација и има за циљ да промовише разумевање питања инвалидитета и мобилише подршку за достојанство, права и добробит особа са инвалидитетом.

30

Nov

Бити будан током операције – мит или истина?

Рад у операционом блоку и свакодневно сусретање са одређеним врстама анестезије понекад доводе до тога да ми, анестезиолози и специјализанти анестезиологије заборавимо какав осећај имају припадници опште популације – углавном старије особе које се оперишу.

30

Nov

Шуга

Шуга је инфективна паразитарна болест која се карактерише ноћним сврабом и породичном појавом обољења.

30

Nov

Ласер није играчка

Светлост ласера усмерена директно у нечије око, може га аутоматски оштетити, посебно уколко се ради о снажнијем ласеру и губитак вида може бити трајан. У појединим државама забележени су случајеви деце која су играјићи се ласером оштетила трајно вид

29

Nov

НОВЕМБAР И ЗДРАВЉЕ МУШКАРАЦА

Новембар је месец који има посебно значење за мушкарце широм света. То је време када се подиже свест о важним здравственим проблемима који погађају мушкарце, а кампања Новембер има кључну улогу у том процесу.

29

Nov

Новембар - Месец борбе против болести зависности

Месец новембар је према Међународном и Националном календару здравља посвећен борби против болести зависности, са циљем подизања свести становништва о штетним ефектима дрога и мобилисања целокупног друштва за укључивање у активности на сузбијању њиховог коришћења. Ове године се месец борбе против болести зависности обележава под слоганом ,,Победимо зависност заједно".

29

Nov

ПЕРИТОНЕАЛНА ДИЈАЛИЗА

Одлука да се започне дијализа за лечење завршног стадијума бубрежне болести (ХБИ) обично зависи од комбинације симптома оболелог, коморбидитета и лабораторијских параметара. У вец́ини центара за трансплантацију Западног света средње време чекања на нови бубрег износи 3–6 година. Дијализа укључују хемодијализу (ХД) и перитонеалну дијализу (ПД).

26

Nov

Лапараскопске операције жучне кесе, дебелог црева и кила у Општој болници Панчево

Дуги низ година лапрскопске операције раде се у Oпштој болници Панчево, међу првима у нашој болници оперисано је дебело црево лапарскопски. За лапарскопске операције кажу да су ниско ризичне, минимално инвазивне, захтевају мале резове. Поред операција дебелог црева оперишу се киле, жучна кеса и слепо црево овом методом.

26

Nov

Елиминисана листа чекања на операцију катаракте

Листе чекања на оперцију катаракте више нема у Општој болници Панчево. Иако је директор Опште болнице Панчево, доктор Слободан Овука, најавио да листи чекања неће бити до краја новембра, офталмолози и медицинске сестре су свој посао урадили пре обећаног рока

25

Nov

25. новембар - Међународни дан борбе против насиља над женама

Међународни дан борбе против насиља над женама обележава се данас, 25. новембра, са циљем указивања на значај и величину овог проблема. Како се наводи на сајту Уједињених нација, насиље над женама и девојчицама остаје једно од најраспрострањенијих и најраширенијих кршења људских права у свету.

25

Nov

ДИЈАГНОСТИКА ТРУДНОЋЕ

Знаци трудноће се могу поделити на несигурнe, вероватне и сигурнe. Несигурни знаци трудноће су мучнина, повраћање, слабост, поспаност, промене расположења. Вероватни знаци трудноће су изостанак менструације, оскудно вагинално крварење у време очекиване менструације, благо повећање и напетост дојки.

16

Nov

Дијабетес

Дијабетес је једно од најчешћих хроничних незаразних обољења и представља велики јавно здравствени проблем.

14

Nov

У Панчеву обележена лекарска слава Свети Врачи Козма и Дамјан

У Панчеву обележена лекарска слава Свети Врачи Козма и Дамјан резањем колача уз присуство свештенства СПЦ, менаџмента Опште болнице Панчево, Дома здравља Панчево и Завода за јавно здравље Панчево, кумова славе и многобројних здравствених радника обележена је данас у Дому здравља у Панчеву.

12

Nov

Полицитемија вера

Полицитемија вера (еритроцитоза) је повећање концентрације хемоглобина изнад нормалних вредности. Апсолутна полицитемија је присутна у случају када је волумен еритроцитне масе већи од 25% од очекиваних вредности у односу на телесну тежину и пол, а релативна полицитемија (псеудополицитемија) у случају када је волумен еритроцита нормалан, а волумен плазме смањен (нпр. дехидратација, опекотине).

12

Nov

ВИЛСОНОВА БОЛЕСТ

Вилсонова болест је генетски аутозомно рецесивни поремећај у коме се бакар ексцесивно накупља у јетри и мозгу. Болест је проузрокована мутацијама оба алела у гену АТП7Б на хромозому 13. Симптоми су најчешће последица јетреног или неуропсихијатријског поремећаја.

11

Nov

Хируршко отклањање масног ткива обавља се брзо и под локалном анестезијом

Често људи дођу и кажу желим да уклоним. Не морају се уклањати масна ткива и није увек прва препoрyка, али када се налазе на рукама, на ногама, на удовима, када отежавају покрете они дефинитивно јесу за уклањање

11

Nov

У Општој болници Панчево, операције катаракте и кука обављале су се и на дан празника

Иако се најкраће чекало на операцију катаракте у Очној болници, око два месеца, менаџмент Опште болнице Панчево донео је одлуку да у складу са политиком Министарства здравља Републике Србије офталмолози и медицинске сестре поред прековременог рада операције раде викендом и празником. Радно је било и на Ортопедији, две операције протезе кука допринеће даљем смањењу листе чекања.

10

Nov

До краја новембра неће бити листе чекања за операцију катаракте

На операцију катаракте пацијенти у Очној болници су чекали до два месеца, иако је то један од најкраћих рокова у односу на друге здравствене установе, менаџмент Опште болнице Панчево заједно са офталмолозима донео је одлуку да раде у суботу и током 11. Новембра када прослављамо Дан примирја у Првом светском рату како листе чекања не би било. Такође радићемо и на ортопедији, ендопротеза кука се ради са појачаним бројем од десет до дванаест недељно тако да очекујемо да и ту листу чекања на операције кукова очистимо за наредних три до четири месеца

05

Nov

Гост eмисије „Буђење уз ТВ Панчево“ био је др. Миња Стојановић, начелник хирургије у Општој болници Панчево

Једна значајна и вест, једна значајна ствар, ако могу тако да кажем, догодила се прошле недеље, значи секција хирурга је спојена, како смо оно рекли, са лапароскопском радионицом.

29

Oct

ДОЈЕЊЕ

Дојање је најбољи начин комуникације између мајке и детета. Дете се рађа са рефлексом сисања које је кључ за успешно дојење. Мајчино млеко, због идеалног садржаја свих потребних компонената, представља најздравији начин исхране за оптимални раст и развој дојеног детета.

25

Oct

Набављена нова опрема за Службу ортопедије и трауматологије Опште болнице Панчево

Општа болница Панчево набавила је нови Електрични моторни систем за Службу ортопедије и трауматологије. Наведена опрема је неопходна Служби ортопедије и трауматологије ради обављања оперативних захвата на костима екстремитета и примарно ће се користити приликом уградње ендопротеза зглобова, као и код прелома дугих костију екстремитета.

24

Oct

Општа болница Панчево угостила преко 250 специјалиста хирургије из Србије и 10 иностраних земаља

Панчевачки хирурзи сваке друге године организују радионице које буду веома посећене. Ове године учествовало је 250 хирурга из читаве Србије и хирурзи из још 10 иностраних земаља.

23

Oct

Нов ултразвучни апарат стигао у Службу за радиолошке дијагностике Опште болнице Панчево

Након конкурса Опште болнице Панчево на Јавном конкурсу за финансирање односно суфинансирање изградње, одржавања и опремања здравствених установа у 2024. години Покрајинског секретеријата за здравство, нашој Установи додељена су и средства за набавку најсавременијег ултразвучног апарата са две сонде за Службу за радилошку дијагностику.

23

Oct

Карцином дебелог црева

Уобичајена подела карцинома дебелог црева је на две група: наследни и ненаследни, тј. спорадични тип. Наследни неполипозни карцином дебелог црева је наследна болест код које карцином настаје из дискретног аденома дебелог црева. Аденом представља бенигни тумор који настаје у слузничном епителу.

21

Oct

Десета јубиларна колопроктолошкa радионица одржана у Панчеву

Десета јубиларна колопроктолошка радионица у оквиру Српског лекарског друштва и панчевачких хирурга организована је у Хотелу Тамиш. Најбољи хирурзи из целог света и наше земље узели су учешће и представили нове методе лечења које се примењују у свету. Такође су уприличене многе иновативне радионице и предавања

16

Oct

Чланови Удружења „Ветерани 72. специјалне” из Панчева уручили су данас донацију пелена за бебе особљу Дечјег одељења Опште болнице Панчево

Чланови Удружења „Ветерани 72. специјалне” из Панчева уручили су данас донацију пелена за бебе особљу Дечјег одељења Опште болнице Панчево. Ова донација обезбеђена је у оквиру акције „Ветерани за мале хероје”, а велику подршку у њеној реализацији пружили су донатори и пријатеља Удружења „Ветерани 72. специјалне”, а пре свих Удружење „Ветерани Срема”.

16

Oct

Нови апарати за холтер ЕКГ-а и холтер крвног притиска стигли у Општу болницу Панчево

На снимање холтером чекало се више месеци, а разлог је био мали број апарата. Нажалост како расте број кардиоваскуларних болесника, потребе за овом врстом дијагностике биле су све веће. Од дела новца који је покрајински секретеријат за здравство издвојио за Општу болницу Панчево, купљено је пет ЕКГ холтер апарата, два рекордера за холтер крвног притиска са новим читачким јединицама. Уз нове апрате смањићемо листу чекања на ову дијагностичку процедуру.

13

Oct

Ускоро нови сајт Опште болнице Панчево

Протеклих година доказали смо да се усавршавамо у сваком погледу. Ако се осврнемо на протекле године, можемо закључити да смо запослили и усавршили завидан број медицинског кадра, смањили листе чекања како за прегледе, тако и за оперативни програм.

09

Oct

Током викенда умерен број пацијената у ОРЛ амбуланти ОБ Панчево

Током викенда умерен број пацијената у ОРЛ амбуланти у Општој болници Панчево. Најчешће су долазили због компликација горњих респираторних инфекција, деца због гутања страних тела али још увек има и падова и повређивања са бицикла.

25

Sep

Ултразвучни преглед јетре

Ултразвучни преглед јетре је неинвазивна, брза, једноставна , дoступна и поуздана дијагностичка процедура која се користи за процену величине, структуре и стања јетре и представља први корак у дијагностици обољења јетре.

25

Sep

Синдром изгарања – како га препознати и како се изборити са истим?

Синдром изгарања на послу је тема о којој се у последњих пар година јако пуно говори, што због развоја људских ресурса као посебне гране, то због све комплекснијих послова који укључују мултидисциплинарни приступ, познавање модерних технологија, а услед брзине садашњице, често се заборави на опште људске потребе што још више доприноси испољавању симптома изгарања.

23

Sep

Добар одзив грађана на акцију превентинвих прегледа. Поред уобичајених прегледа, радиолошка служба обављала и снимање скенером

Без заказивања и здравствене књижице, и ове недеље грађани Панчeва могли су да преконтролишу своје здравље. Министарство здравља организовало је превентивне прегледе на више локација на које су се одазвали многи суградђани. Како су истакли, превентивни прегледи су идеална прилика да се без заказивања провери здравствено стање.

20

Sep

ОБАВЕШТЕЊЕ ЗА ЦТ СНИМАЊЕ

По налогу Министарства здравља Републике Србије, дана 21. и 22. септембра 2024. године ( субота и недеља), у нашој здравственој установи ће се спровести ЦТ снимање.

20

Sep

ПРЕВЕНТИВНИ ПРЕГЛЕДИ

У организацији Министарства здравља Републике Србије, у недељу, 22. септембра 2024. године, у периоду од 08.00 до 17.00 часова, одржаће се превентивни прегледи.

18

Sep

Успешно спроведена још једна акција превентивних здравствених прегледа у Панчеву

И овог викенда, у оквиру акције Министарства здравља, у Панчеву су одржани бесплатни превентивни прегледи. Сви грађани, укључујући и оне без здравственог осигурања, имали су прилику да провере своје здравствено стање.

17

Sep

АКУТНИ ПИЈЕЛОНЕФРИТИС

Пијелонефртитис представља запаљење ткива бубрега које траје (бубрежне карлице, чашица и каналића). По дужини трајања дели се на акутни и хронични.

17

Sep

ДУБОКА ВЕНСКА ТРОМБОЗА

Дубока венска тромбоза ( phlebothrombosis ) настаје због призидног стварања тромба који својим растом може у потпуности да опструише венски лумен. Последично се развија дистална венска тромбоза. ДВТ најчешће захвата потколене вене, а затим се шири на натколене (феморалне) и бедрене (илијачне).

17

Sep

ПЛУЋНА ЕМБОЛИЈА

У првој недељи дубоке венске тромбозе тромб није чврсто фиксиран за зид и растреситог је састава. Део тромба се може откинути и пропагирати до пулмоналне артерије, ту се зауставља изазивајући емболију плућа (embolia pulmonum).

15

Sep

ВИЛСОНОВА БОЛЕСТ

Вилсонова болест је генетски аутозомно рецесивни поремећај у коме се бакар ексцесивно накупља у јетри и мозгу. Болест је проузрокована мутацијама оба алела у гену АТП7Б на хромозому 13. Симптоми су најчешће последица јетреног или неуропсихијатријског поремећаја.